
Nella nostra pratica quotidiana sempre più spesso ci capita di ricevere pazienti spaventati che rassegnati ci rivolgono questa domanda.
Cerchiamo di dare una definizione corretta a questo termine medico che spesso viene usato in maniera inappropriata.
GRANULOMA: Neoformazione di natura infiammatoria, caratterizzata dall’abbondante proliferazione cellulare che si accompagna in misura più o meno evidente a neoformazione di connettivo e di vasi sanguiferi.[ tratto da”Enciclopedia Medica”]
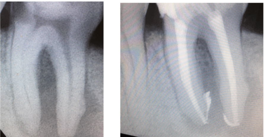
Il granuloma che interessa i denti viene definito “GRANULOMA APICALE”. Si sviluppa intorno all’apice della radice di un dente cariato o colpito da gangrena della polpa oppure già devitalizzato.
Questa parola che ci spaventa tanto non è altro che la risposta che il nostro corpo attiva di fronte ad un problema.
Spesso il paziente non manifesta nessun sintomo e la presenza di un granuloma viene scoperta per caso con una semplice lastra in studio o grazie ad una ortopantomografia (la lastra che mostra tutti i denti) eseguita per altri motivi.
Il granuloma può sviluppare una condizione molto fastidiosa chiamata ascesso dentale. L’evoluzione del granuloma in ascesso comporta l’immediata somministrazione di antibiotici per diminuire la proliferazione batterica e di conseguenza la sintomatologia. Il paziente in questo stato clinico è portato a pensare che non esista altra soluzione oltre all’estrazione del dente che gli causa tanto dolore.
Bisogna rivolgersi ad un dentista che possa eseguire una corretta diagnosi e affrontare la situazione nel migliore dei modi, poiché la terapia antibiotica NON è la cura dei granulomi.
E’ possibile eliminare un granuloma apicale eseguendo una corretta devitalizzazione oppure provando, qualora il dente fosse già stato devitalizzato, un ritrattamento ossia una nuova devitalizzazione. E’ importante, soprattutto nei casi di ritrattamento, affidarsi a operatori esperti che abbiano già trattato casi simili con successo.
Ricordiamo che estrarre il dente è sempre possibile, ma la nostra missione è salvare i denti non toglierli ed è per questo motivo che investiamo tutto nella nostra formazione e strumentazione.
[editoriale dr Bertella, Giornale di Vimercate]
