Restaurare un dente significa ripristinarne la funzione, la forma e l’equilibrio, cercando sempre di preservare il più possibile la struttura dentale naturale.
La carie è una patologia che, se intercettata precocemente, può essere trattata in modo semplice e poco invasivo. Per questo motivo la prevenzione e i controlli periodici rivestono un ruolo fondamentale.
Attraverso la conservativa estetica è possibile migliorare la forma e l’aspetto dei denti, correggere vecchie otturazioni in zone visibili e ottenere risultati funzionali ed estetici, senza ricorrere a trattamenti più complessi o invasivi, sia dal punto di vista biologico che economico.
Durante le visite di controllo viene valutata con attenzione la presenza di eventuali lesioni cariose. Spesso, infatti, quando la carie inizia a dare sintomi evidenti, il danno può essere già esteso e richiedere interventi più impegnativi.
Nei trattamenti utilizziamo materiali di ultima generazione, scelti per le loro elevate prestazioni funzionali ed estetiche. Utilizziamo la diga di gomma, uno strumento fondamentale per lavorare in sicurezza, mantenere il campo operativo isolato e garantire precisione e durata del restauro.
Conservativa indiretta
La conservativa indiretta è indicata nei casi in cui il dente risulti gravemente compromesso, ma ancora vitale.
Dopo una preparazione accurata del dente, viene rilevata un’impronta di precisione che consente al laboratorio odontotecnico di realizzare un intarsio personalizzato, studiato per integrarsi in modo naturale con la dentatura del paziente.
Il restauro viene successivamente cementato in bocca con tecniche adesive avanzate, ottenendo un risultato funzionale, stabile ed esteticamente armonioso, sempre nel rispetto della struttura dentale residua.
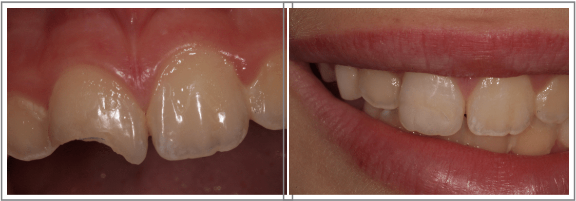
🦷 Traumi dentali
Le attività sportive, scolastiche e di gioco possono esporre bambini e ragazzi a traumi dentali, più o meno gravi. In questi casi è fondamentale agire con calma e tempestività.
Il primo obiettivo è sempre rassicurare il paziente, valutare l’entità del trauma e intervenire nel modo più adeguato, cercando quando possibile di ripristinare il dente con un risultato il più naturale possibile.
In caso di trauma dentale:
- Mantenere la calma
- Rassicurare il paziente e tamponare eventuali ferite a labbra o tessuti circostanti
- In presenza di ferite aperte, recarsi immediatamente al Pronto Soccorso
- Cercare eventuali frammenti del dente e conservarli in un contenitore con acqua
- Contattare lo studio e spiegare l’accaduto
Prima di procedere alla ricostruzione, il caso clinico viene sempre documentato con fotografie ed esami radiografici, a tutela del paziente e dei genitori, anche dal punto di vista medico-legale.
